【症例】変色した前歯をe-maxで治療
治療内容
期間
治療回数
費用
e-maxクラウン 88,000円(税込)
治療前の状態・主訴
患者様は、20代女性の方で、上の前歯の色が気になるとのことで来院されました。
歯の状態としては、幼少期に神経の治療をして、歯の裏からプラスチックの材料で埋めてある状態でした。
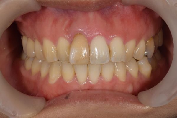
こちらが治療前の写真です。

右上の前歯が変色しているのがわかります。
レントゲン写真を確認したところ、根管治療は問題なく、痛み等の症状もありませんでした。
神経の治療をした歯は、時間とともにグレーっぽく変色してきてしまいます。これをホワイトニングで白くするのは難しいため、被せ物の治療をすることにしました。
治療詳細
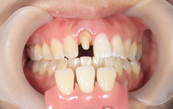
まず、ファイバーポストと言われる材料で土台を立て、被せ物が入るように歯を削りました。
金属の土台に比べると、天然の歯に近い適度な柔軟性があり、破折のリスクが低いといわれています。

こちらが歯を削った状態です。
治療の間は仮歯を入れます。
仮歯の状態で、最終の被せ物の形や歯並びを吟味し、歯茎の状態が整うのを待ちます。

こちらが仮歯が入った状態です。
仮歯で過ごしていただき、問題がなければ型取りを行います。

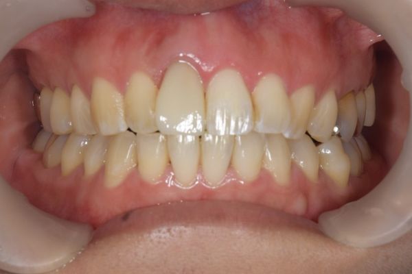
こちらが最終的な被せ物が入った状態です。
治療後の様子
治療後は痛みや噛み合わせの問題なく経過しています。色調も満足してくださいました。
今後は他の部位の虫歯を治療して、定期検診に入る予定です。
主な副作用・リスク
・自由診療になります。
・完全に予後を保証するものではありません。
・症例によっては対応が難しい場合があります。
・歯を削る必要があります。
・噛み合わせによっては歯が欠けることがあります。
神経の治療をした歯は定期的な確認が大切です
神経の治療をした歯は、時間の経過とともに変色してきてしまいます。この変色は、一般的なホワイトニングでは白くするのが難しいです。
また、歯質の残っている量にもよりますが、神経の治療をした歯は割れたり欠けたりするリスクも高くなるため、被せ物をしてしまった方が良いケースも多くあります。
今まで神経の治療をされた方は、一度状態を確認することをおすすめします。
何か歯の状況や治療で気になることがございましたら、お気軽にせたがや歯科室にご相談ください。
せたがや歯科室 歯科医師 安藤
こちらもご参照ください。