ジルコニアセラミックを用いた前歯の審美的治療
治療内容
期間
治療回数
費用
治療前の状態・主訴

今回の患者様は、前歯の色の違いや見た目が気になるとのことで来院されました。過去に、前歯の神経をとる治療を行なっており、そのまま仮歯の状態で治療が止まっていました。前回の治療から、かなりの期間が経過していて仮歯との間も詰まり始めており、今後、虫歯や歯周病にならないかどうかと不安があるとのことでした。
過去の神経を取る治療の影響で、歯の痛みなどはない状況です。患者様は、現状の周囲の歯と前歯の色とをセラミック治療で揃えたいとご希望されました。
治療詳細

型取り、色合わせのための写真撮影を行い最終補綴へ移行
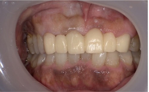
治療後の様子

処置直後も特に痛みなどはなく、状態も安定しています。色調にもご満足いただけました。
主な副作用・リスク
・予後を完全に保証するものではありません。
・自由診療での治療となります。
・治療終了後に咬むと痛いなどの症状が出る場合があります。
仮歯のまま長期間使用すると虫歯や歯周病が悪化するリスクが上が ります
患者様の状態と希望された治療
今回の患者様は過去に神経を取った前歯に、仮歯の被せ物が連結して入っている状態でした。患者様はこの古い仮歯をセラミックにてやり替えを希望されました。
神経がない歯は、色が変色し黒ずんでしまうこともあり、被せ物にて修復することが多いです。また歯には栄養分が行かず枯れ木のような状態になり、歯はもろくなります。そのため、被せ物には歯の破折のリスクを最大限防止する役割もあります。
今回使用したセラミックの特徴
今回使用したセラミックは、ジルコニアセラミックと言われる工業用のダイヤモンドになります。さらに表面にポーセレンを盛り足すことにより色調だけでなく、汚れがつきにくく、強度的に強く長期的に使用可能な被せ物を装着することができます。
また、ご自身の歯との色の違いを最小限にするように心がけました。色調に関しては、写真を多数撮影して、提携ラボ歯科技工士さんへお送りし、色調の再現をお願いしております。また、使用カメラに関しても技工士と同じものを使用する事で色の誤差などを最小限に減らすよう工夫しております。
仮歯を長期間使用するリスク
仮歯はあくまで一時的に使用するもので長期間使用しないものになります。今回のように長期にわたって使用することで汚れもたまり、虫歯や歯周病が悪化するリスクがあります。
歯周病は基本的には口の中の細菌が食べかすなどを餌にし、毒素を出し歯茎に炎症を起こすことから始まります。そのまま放置することで歯茎の下の骨を溶かしていきます。これが歯周病です。
歯茎も含め人間の体は常に変化しています。歯周病などの影響が出てくると歯茎はやせていき被せ物に隙間ができやすく食べかすなどが残りやすくなります。
歯は歯茎に埋まっていると思われている方もいますが、歯茎の下には骨があり、歯は顎の骨に植わっています。歯周病は骨を溶かす病気ですので最終的に骨が溶ければ歯の植わっている部分とお口の中に出ている部分との割合が崩れてしまい揺れが出てきます。一度溶けてしまった骨は基本的には再生は難しくなるため、悪化させないことが非常に重要になります。
歯周病と全身疾患の関係
歯周病は細菌感染により起こります。しかし、例えば糖尿病を持つ患者さんの場合、免疫機能が低下しており、感染に対しての抵抗力が下がっているため歯周病が重篤化しやすくなります。また、それに伴い炎症が起こり、歯周組織の破壊が進みます。歯茎には血管が多く走行しており、喫煙者の方同様に血流量が低下し歯茎の修復能力が低下していきます。
このように一つの疾患でもたくさんの影響が重なり合い歯周病は悪化の道をたどります。定期的に歯科医院で検診やクリーニングを行っていくことや生活習慣の見直しが重要になります。
歯周病の様々な原因
歯周病には細菌感染以外にも喫煙、歯ぎしり、かみ合わせ、糖尿病、遺伝要因、ストレス、口呼吸等様々な事が悪化させる原因となります。特にご自身で気が付きにくい噛み合わせの問題は歯周病を悪化させる重要な問題になります。ご自身では均等に噛めているようでも実際にはずれが生じている場合が良くあります。噛み合わせはとても複雑で継続的に拝見していきながら、ずれを少しずつ調整していく必要があります。
せたがや歯科室では様々なケースご対応できるよう患者様への選択肢の提示を行っております。メリット、デメリットをしっかりとご説明し、ご理解を頂いてから治療を行っております。お気軽にご相談ください。
せたがや歯科室 院長 吉竹
こちらもご参照ください。