30代男性に対する、ぐらぐらする前歯へのインプラント治療と保険内治療
治療内容
期間
治療回数
費用
保険の治療 10000円程度
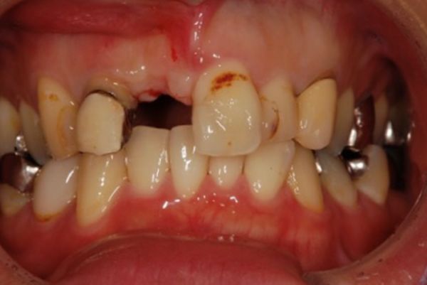
治療前の状態・主訴
患者様は30代男性の方で、「前歯がぐらぐらする」ということで来院されました。
診察したところ、右から1番目の歯が根ごと揺れておりました。
歯は、被せ物下で虫歯が広がり、中で根が割れている状態でした。
隣在の歯は、適合が悪い被せ物が入っていたり、プラスチックのすぐそばから虫歯が出来たりしておりました。
治療詳細
右から1番の歯は保存不可能と判断し、抜歯をおこないました。
右上1番目の歯を抜歯のみ行っている状態の画像がこちらになります。

抜歯後は仮歯を装着しました。
しばらく仮歯で過ごして頂き、骨が治るまで4ヶ月近く待ちました。
骨が戻って来たのを確認してから、インプラントのオペを行いました。
インプラントのボルトの部分と骨がしっかり固定されるまで、4ヶ月程待ちました。
固定された後、被せ物の型取りをして、ジルコニアセラミックの被せ物をセットしました。
インプラントオペ直後のレントゲン画像がこちらになります。

並行して、臨在歯の保険治療を進めました。
右から2番目の歯は、元々入っていた被せ物が不適だったため、保険内の被せ物を作製しました。
左から1番目2番の歯はプラスチックの近くに着色と虫歯がありましたので、取り除いて詰め直しをしました。
治療後の様子
治療後の画像がこちらになります。

インプラント以外は費用をかけるのが難しいとのことでしたので、なるべく保険内の治療を行いました。
材質が限られるため、透明感など、色を完全に合わせることは難しいですが、トーンを合わせるだけでもかなり印象が変わっており、患者様には満足していただけました。
主な副作用・リスク
・インプラントオペを行うので、全身疾患の状態や、顎骨の状態によってはオペができない事もあります。
・インプラントは人工物ですので、虫歯にはなりませんが、インプラントのボルトを支えている骨が溶ける歯周病には罹患します。
・歯周病が悪化すると、入れたインプラントが抜ける事もあります。
・歯周病をコントロールするために、日頃のご自身でのケアと歯科医院での定期的なケアが必要になります。
松陰神社前 せたがや歯科室では、患者様に合わせた方法で治療いたします
今回は、抜歯が必要な右上1番目に対しインプラントをし、周りの歯を保険治療で補填しましたが、抜歯・インプラントが必要な場合でも、治療法や使用材料には複数の選択肢がございます。
メリット・デメリット、費用、治療期間など、遠慮なくご相談ください。
治療後は、ご自宅での丁寧なケアと歯科医院での定期メインテナンスのどちらも大切にすることが、インプラントと天然歯を守ることにつながります。
せたがや歯科室では、さまざまな症例に対応しています。早めに問題が発見できれば、小さな治療で終わる事が多いです。ですので、なにか気になる症状がございましたら、お気軽にご相談ください。
当院は松陰神社前駅徒歩30秒の場所にある、通いやすい歯科医院です。
皆様のご来院をお待ちしております。
せたがや歯科室 歯科医師 岩田
こちらもご参照ください。