【症例】欠けてしまった前歯のラミネートベニアに対するジルコニアボンド治療
治療内容
期間
治療回数
費用
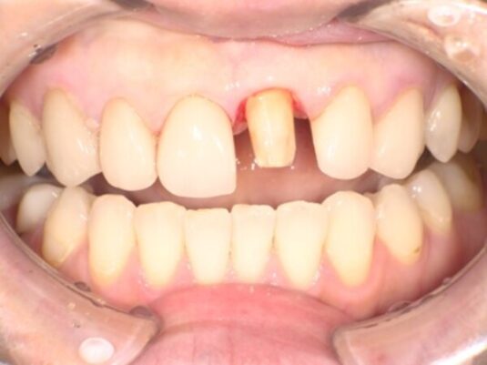
治療前の状態・主訴
この患者様は、10年前につけた前歯のラミネートベニアが欠けてしまったとのことで来院なさいました。来院時の様子がこちらです。

治療詳細
ラミネートベニアを再度作っても構いませんが、また欠けてしまう可能性があるというリスクを説明したところ、ジルコニアボンドを選択されました。
元々ついていたラミネートベニアを全て除去し、ジルコニアボンドを作成する準備として一周歯を削りました。

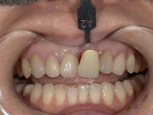
その後、色合わせを行いました。この写真をもとに、技工士さんが色の合ったジルコニアボンドを作成してくれます。


治療後の様子
治療後の様子がこちらです。

色味の合った被せ物が完成しました。患者様にも満足いただき、現在も経過良好です。
主な副作用・リスク
・予後を完全に保証するものではありません。
・自由診療での治療となります。
・治療終了後に、咬むと痛むといった症状が出る場合があります。
そもそもラミネートベニアとは?ジルコニアボンドとは何が違うの?
ジルコニアボンドとラミネートベニアは、どちらも見た目を改善するためのセラミック治療ですが、大きな違いは「歯を削る量」と「強度」です。
ジルコニアボンドは、歯を全体的に削って被せるタイプの被せ物で、内側に強度の高いジルコニアを使用しています。そのため非常に丈夫です。また、見た目も自然で変色しにくいため、神経を取った歯や、すでに大きく削ってある歯に適しております。ただし、その分、歯を大きく削る必要がある点がデメリットです。神経を取っていない生きている歯を全周削るため、被せると、沁みたり痛みが出たりする可能性があります。
一方、ラミネートベニアは歯の表面をわずかに(0.5mm程度)削り、その上に薄いセラミックを貼り付ける方法です。削る量が少なく、歯に優しい治療法で、透明感のある自然な見た目に仕上がります。ホワイトニングで白くならない歯や、前歯の形を少し整えたい場合に適しています。ただし、ジルコニアボンドほど強度はなく、歯ぎしりが強い方には不向きな場合もあります。
この症例の患者様のように、一度ラミネートで欠けてしまった方にはジルコニアボンドをお勧めするケースもございますが、メリットデメリットを踏まえた上でご自身に合った被せ物の選択をしていただけると幸いです。
せたがや歯科室 歯科医師 大橋
こちらもご参照ください。
【症例】色や形が気になる前歯に対するジルコニアセラミックを用いた審美的治療|せたがや歯科室