【症例】すきっ歯をジルコニアセラミックにより修復
治療内容
期間
治療回数
費用
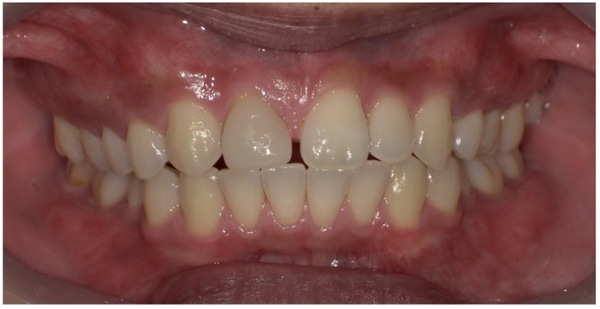
治療前の状態・主訴
今回の患者様は、前歯の神経を取る治療を行ったあと、矯正治療を行ったが、前歯の色と形が気になるとのことで来院されました。
過去に神経を取る治療をしているため、歯の痛みなどは特にない状況です。患者様としては、最終的に現状の周囲の歯と色を揃えてセラミックで治療したいとのご希望がありました。それに加え、歯の隙間をなくしたいとのご希望もありました。

治療詳細
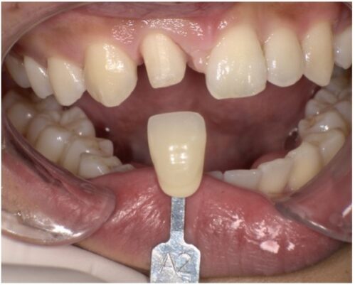
まずは、型取りを行い、下のように色合わせを行いました。

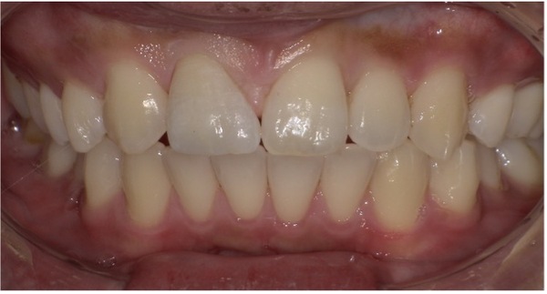
被せ物を完成させ。色や形など、全体的なバランスを確認しました。

治療後の様子
特に処置直後も痛みなどはなく、状態も安定しています。色調にもご満足いただけました。

主な副作用・リスク
・予後を完全に保証するものではありません。
・自由診療での治療となります。
・治療終了後、咬むと痛いなどの症状が出る場合があります。
矯正後であっても歯科医院でのメンテナンスは重要です
今回の症例では、全顎の矯正治療を終了した後、前歯の隙間が気になり、前歯をセラミックでやり替えたいとご希望されていました。神経を抜いた歯は変色して黒ずむことがあり、被せ物で修復することが多くあります。また、歯には栄養分が行き届かず、枯れ木のような状態になり、もろくなります。そのため、被せ物をすることで歯の破折を最大限防止する役割もあります。今回の場合は矯正治療を行っていたため、再度矯正を行うことを強くお勧めしましたが、患者様は矯正は行わず、セラミックでの修復を希望されました。矯正治療を行った後は後戻りが生じ、必ず多少の変化が起こります。噛み合わせのバランスにずれが生じてくると、顎関節などにも負担がかかり、顎の痛みや歯の痛みにつながります。
矯正治療後には噛み合わせの微調整が必要になる場合も多いため、定期的に歯科医院で噛み合わせの確認をしてもらうことを強くお勧めします。
今回の場合、患者様は前歯の隙間を気にされており、ジルコニアセラミックでの修復を希望されました。左右のバランスを整えることを考えると、反対側の前歯も修復することでより自然で美しい仕上がりになりますが、今回はご相談の上、1本のみの修復となりました。
矯正治療に関しては、近年マウスピース矯正など「通院が不要」と謳う医院もあり、選択に迷われる方も多いかと思います。マウスピース矯正が悪いわけではなく、患者様のストレスが軽減されるなど良い点もありますが、すべてのケースに適応するわけではありません。価格や期間、医師との相性などをよく見極めて選択する必要があります。
矯正後であっても、ご自身では均等に噛めていると感じていても、実際には小さなずれが生じている場合があります。噛み合わせは非常に複雑であり、継続的に観察しながらずれを調整していく必要があります。定期的に歯科医院で検診やクリーニングを受ける際に、噛み合わせの確認もしてもらいましょう。
また、今回使用しているセラミックは「ジルコニアセラミック」と呼ばれる、工業用ダイヤモンド素材です。さらに表面にポーセレンを盛り足すことで、色調の再現性を高めるだけでなく、汚れがつきにくく、強度が高く長期的に使用可能な被せ物を装着することができます。
また、患者様の歯との色の違いを最小限にするよう心がけました。色調については多数の写真を撮影し、提携している歯科技工士へお送りし、色調の再現を依頼しております。使用しているカメラも技工士と同じ機種を用いることで、色の誤差を最小限に抑える工夫をしています。
せたがや歯科室では、さまざまなケースに対応できるよう、患者様への選択肢の提示を行っております。メリット・デメリットをしっかりとご説明し、ご理解をいただいた上で治療を行っております。お気軽にご相談ください。
せたがや歯科室 歯科医師 吉竹
こちらもご参照ください。