【症例】欠けてしまった歯に対する矯正的挺出術による保存治療
治療内容
期間
治療回数
費用
治療前の状態・主訴
右上の歯が欠けてしまったとのことで来院されました。
口腔内を診察したところ、歯が半分ほど欠けており、歯の神経が見えてしまっている状態でした。
治療詳細
神経を残すことが難しかったので、まず保険診療にて根管治療を行いました。
根管治療後は、土台を立てて被せ物を作っていく治療になるのですが、歯の一部が歯肉より下まで欠けてしまっている状態でした。

このままでは精密な型を取ることができず、適合の良い被せ物を作ることができない可能性や、被せ物の維持が取れずにすぐ外れてしまうリスクがあります。
そこで今回は矯正的挺出術を行い、歯を引っ張りだすことにしました。
矯正的挺出術とは隣在歯にワイヤーを固定し、そこに矯正用のゴムをかけ、ゴムの力でゆっくりと引っ張りだしていく治療です。

装置が付いた状態の写真です。

一週間に1回ゴムを交換します。

土台が立てられる位置まで歯が出てきたので土台を立てました。

仮歯を入れて歯肉の状態が落ち着くまで待ちます。

型取りをして最終的な被せ物が入りました。
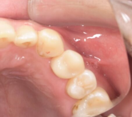
治療後の様子
現在痛みなどはなく、歯肉の状態も問題ありません。
今後は他の虫歯治療などを行い、メンテナンスに移行する予定です。
主な副作用・リスク
・治療期間がかかる
歯の状態によって、挺出に必要な期間はさまざまです。すぐに修復を行いたい場合には不向きです。
・歯根や歯周組織への影響
過度の力をかけると歯根吸収や歯周組織の損傷を引き起こすことがあります。定期的なチェックが必須です。
・適応が限られる
歯根長が短い場合や、重度の歯周病がある場合には挺出が困難です。
・自費診療となります
適合の良い被せ物の装着を実現する矯正的挺出術
歯が大きく欠けてしまい、
このような状況に対して有効な治療法の一つが矯正的挺出術です。
矯正的挺出術を行うことで、適合の良い被せ物を作製・
治療を成功させるためには、適応症例を見極める必要があります。歯質が少なくなってしまった方も一度ご相談にきていただければと思います。
せたがや歯科室では、患者様一人ひとりの口腔内の状態やご希望を踏まえ、
せたがや歯科室 歯科医師 安藤
こちらもご参照ください。