【症例】転倒による前歯外傷に対する審美治療
治療内容
期間
治療回数
費用
治療前の状態・主訴
患者様は20代女性、2日前に自転車で走行中に転倒し、顔面を強打して前歯が欠けてしまいました。痛みは落ち着いていましたが、前歯に触れると強い痛みがあるとのことでした。
初診時は、前歯は欠けていましたが揺れはなく、神経も露出していませんでした。しかし歯に触れると強い痛みがあり、診査したところ、歯の神経はすでに保存困難な状態でした。
審美的な点からも、現状では問題なく日常生活を送るのは困難だと診断し、即日に抜髄(歯の神経を取る処置)をして、応急的ではありますが前歯の形を治しました。その際、患者様より「事故前の状態より、前歯を短くしたい」とのご希望があったため、仮歯にて歯の最終形態の指標を作製することにしました。

事故後のレントゲン写真

事故後のレントゲン写真

事故以前のレントゲン写真
歯の先端は綺麗な直線であることがわかります
治療詳細
初診時は、診査を行った後に、歯の神経の処置を開始しました。転倒後2日が経過していたため、歯の内部はすでに出血が止まり、黒ずんでいました。
そこで歯の内部の固まった血や神経の残骸を除去し、歯の根の長さや太さの測定をしました。その後、薬を注入して、歯の神経の処置を終えました。
次に、歯科用樹脂を用いて、歯の欠けている部分を応急的に治しました。その際、患者様より「歯を短くして内側に下げたい」という審美的なご希望があったため、前歯の形態と位置を修正しました。患者様に確認していただき、おおよその形態を作った後に、仮歯用の型取りを行いました。
2回目の来院時には、痛みはほとんど消失していました。再度、歯の内部を洗浄し、3回目の来院時では痛みが完全に消えていたので、最終的な薬を詰めて、歯の神経の治療を完了しました。

根の中に薬を詰めた後のレントゲン写真
詰めた薬の部分が白く写っている
4回目の来院時では、前回処置後、特に問題なく経過したことを確認できたため、被せ物の作製を開始しました。神経がなくなってしまった歯は、元の歯に比べて強度が劣り、折れやすくなっています。そこで「ファイバーコア」という、ガラス繊維と歯科用樹脂を合わせた土台を歯の内部に作製し、被せ物の型取りを行いました。

ファイバーコア装着時
今回は、患者様から「審美的にも、元々の歯列より改善したい」とのご希望があったため、患者様のご意見を踏まえつつ、仮歯の作製をしました。仮歯の段階であれば長さや位置を可能な範囲で修正できるため、この段階で完成形のイメージを固めていきます。
被せ物の色味は隣の歯、顔色、性別、イメージに合わせて作製します。歯の写真や、患者様のご希望などの情報を歯科技工士に伝え、その方にもっとも合う被せ物を、オーダーメイドで作製します。

仮歯装着時

色味の記録時の様子
色調のガイドとなる模型を使用し、周囲の色味を記録していきます
5回目の来院時に被せ物を装着して、治療完了となります。

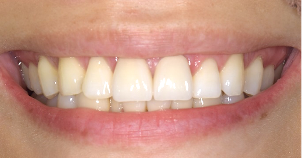
被せ物完成時

被せ物完成時
治療後の様子
その後、噛み合わせ、痛みなど特に問題なく1ヶ月経過し、審美的にも問題ないとのことでした。他の歯も特に問題がないため、メンテナンスに移行し、4ヶ月ごとの定期検査を行うこととなりました。
主な副作用・リスク
・歯の根の治療の回数は、状態により長期となる場合があります。
・歯の欠け方により、同様の処置が困難となる場合があります。
・歯の土台と被せ物は、自由診療での治療となります。
・歯列の改善は、すべてのご希望に添えるわけではありません。
・被せ物の高さが合わない場合、口腔内にて噛み合わせの調整が必要となります。
<早めの受診により、少ない治療で済む可能性も>
今回の症例は、ご来院いただくタイミングによっては、処置内容が大きく変わった可能性が高いです。
歯の揺れもなく神経の露出もなかったため、事故後、速やかに来院していただくことで、神経を残せた可能性もあります。
今回は数日が経過していましたが、長期間放置せず来院していただけたため、症状が歯の根の先端でひどくなる前に、処置をすることができました。これは、歯の神経の処置を少ない回数で終えることができた、大きな要因の1つです。
事故などで歯以外にも怪我をしてしまった場合は、すぐに歯科医院へ駆け込むことは困難だと思われます。
しかし可能な場合は、できるだけ早く来院していただくことをおすすめします。
せたがや歯科室は、祝日以外は毎日診療しております。緊急時はまず当院にお電話ください。できるだけお待たせしない時間をご案内いたします。
今回は怪我による症例でしたが、怪我のみならず虫歯の場合も同様です。まだ小さな虫歯であれば、少ない回数で治療を終えることが可能です。痛みや違和感は放置せず、まずは受診にいらしてください。現在の状態、治療の必要性の有無、治療のメリット・デメリットなどについてご説明させていただきます。
病気は症状がひどくなればなるほど、治療期間が長くなり、歯も弱くなってしまいます。
些細なことでも構いません。お口の中のご心配やご相談があれば、いつでもご予約ください。
せたがや歯科室 歯科医師 松本
こちらもご参照ください。
一般歯科・根管治療|治療メニュー|せたがや歯科室
歯周病治療|治療メニュー|せたがや歯科室
インプラント・入れ歯|治療メニュー|せたがや歯科室