【症例】奥歯のブリッジをジルコニアへ
治療内容
期間
治療回数
費用
治療前の状態・主訴

今回の患者様は60代女性の方で、「歯が気になるので診てほしい」とのことで来院されました。
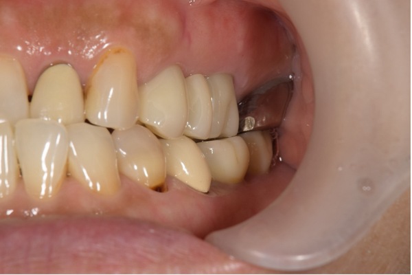
診察したところ、過去に治療された左上の奥歯に、劣化したブリッジを確認しました。一番奥の歯も銀歯の劣化が確認できましたが、費用の問題で患者様と相談の上、今回は左上の奥歯のブリッジに対するジルコニア治療のみを行いました。
治療詳細
ブリッジを除去し、歯の形を整え、仮歯を作製しました。
仮歯でしばらく生活してもらい、痛みや違和感、設計などの問題がないことを確認しました。
仮歯を参考に最終的な被せ物を作製しました。

治療後の様子
患者様は、ジルコニアの色調が自然に見えることや噛み合わせも改善され満足されていました。今後、奥の銀歯も処置する予定です。
主な副作用・リスク
・予後を完全に保証するものではありません。
・症例によって対応が困難な場合があります。
・自由診療になります。
・ブリッジの被せ物は仮歯の作製が必要です。
最適な素材で最適な治療を
ブリッジの被せ物は、歯が欠損している部分を材料で補う設計が必要です。そのため、支える歯の負担が増える可能性があり、材料自体にも強度が必要です。
現在、ブリッジが可能な材料は金属か、今回使用したジルコニアしかありません。
他の材料では、負担に耐え切れず壊れてしまう可能性が高いです。
今回はブリッジを選択しましたが、欠損部にインプラント治療を行うと、歯をそれぞれ単体で被せ物を設計できるため、使用できる材料の選択肢が増えます。
せたがや歯科室では、さまざまなケースに対応できるよう、患者様への選択肢の提示を行っております。メリット・デメリットをしっかりとご説明し、ご理解をいただいた上で治療を行っております。歯のことでお困りの方はお気軽にご相談ください。
せたがや歯科室 歯科医師 山本
こちらもご参照ください。