【症例】神経を治療した歯に対するジルコニアセラミックの被せ物
治療内容
期間
治療回数
費用
治療前の状態・主訴
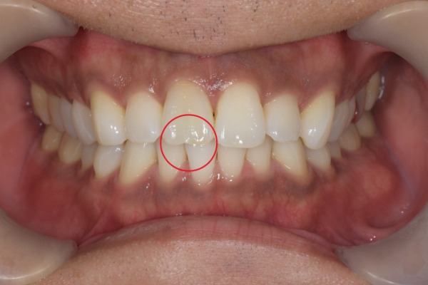
患者様は30代男性の方です。「歯が欠けている」と来院されました。
診査したところ過去に治療された右上前歯の先端がわずかに欠けていました。
治療前の噛んだ状態の写真です。

開口時の写真です。

同部位は過去に神経の治療を行っていました。

患者様は歯ぎしり食いしばりがあり、マウスピースを睡眠時に使用して予防していました。しかし神経の治療をしてから長期間経過していたこともあり、歯質にヒビがあることを確認しました。
このままではいずれ歯質が欠けてしまい、最悪の場合、欠けた場所によっては抜歯となる可能性があります。そのため歯質を覆う被せ物の治療を患者様に提案し、治療を行いました。
治療詳細
歯の土台を新しくグラスファイバーで作りました。グラスファイバーを使用すると歯が欠けるリスクを軽減できます。噛む力が強い人にはおすすめです。
その後、歯を調整し仮歯を作製しました。
仮歯でしばらく生活してもらい痛みや違和感、設計など問題がないことを確認していただきました。
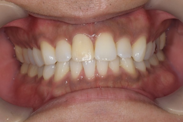
こちらが仮歯の状態です。


仮歯を参考に最終的な被せ物を作製しました。
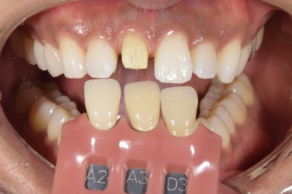
色合わせをしている口腔写真です。

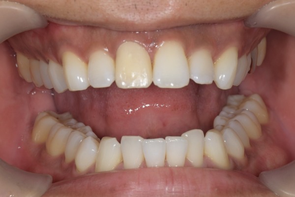
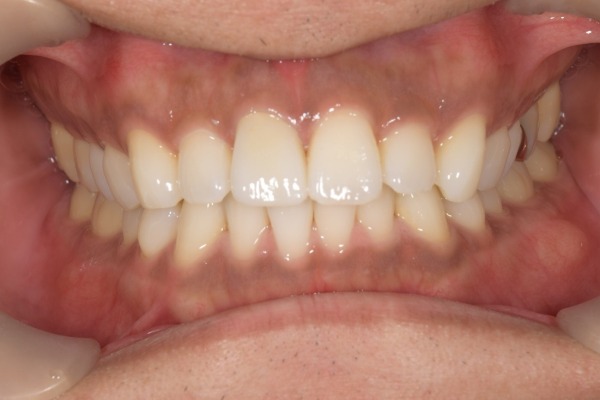
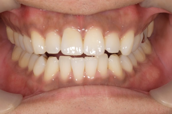
治療後の様子
患者様はジルコニアと歯の色調が自然に見えることや噛み合わせが改善されたことにご満足されました。


主な副作用・リスク
・予後を完全に保証するものではありません。
・症例によって対応が困難な場合があります。
・自由診療になります。
・前歯の被せ物は仮歯の作製が必要です。
定期検診で神経治療後の歯を守りましょう
今回のケースのように神経を治療している歯は経年劣化し脆く割れやすくなります。生活習慣や歯の種類などで差はありますが、神経を処置した歯の寿命は平均10年と言われています。
せたがや歯科室では定期検診でそのような歯をリカバリーし、患者様に合った今後の治療プランをご提案させていただきます。歯のことでお困りの方は、お気軽にご相談ください。
せたがや歯科室 歯科医師 山本
こちらもご参照ください。